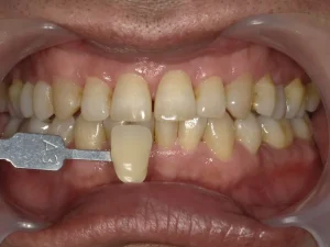
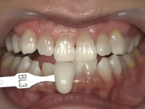
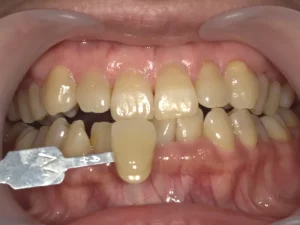
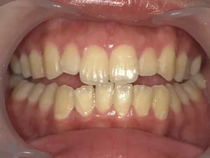
ホワイトニング症例

20代女性 期間1ヶ月半

ご相談のきっかけ
就寝中の歯ぎしりによる影響から、前歯にしみるような知覚過敏(Hys)を時折感じておられました。不自然な白さではなく、お顔立ちに馴染むナチュラルなトーンアップをご希望です。

施術内容(税込)
初回オフィスホワイトニング:8,800円
コース総額:69,000円
内訳:オフィス(プレミアム)3回、ホーム用マウスピース上下、ジェル6本、専用ペースト

施術期間 約6週間(1.5ヶ月)

担当衛生士の振り返り
当初は薬剤による刺激を懸念されていましたが、カウンセリングの上で慎重に進めました。ホームホワイトニングは低濃度の16%からスタート。違和感がないことを確認し、22%へ濃度を上げた後も、毎日1〜2時間の装着を継続いただけました。最終的な仕上がりに大変お喜びいただき「母にも紹介したい」とのお言葉を頂戴しております。

30代女性 期間1ヶ月半

ご相談のきっかけ
30代のご夫婦でご来院いただきました。奥様は特に「犬歯の黄ばみ」を気にされており、この機会にご夫婦揃っての「ペアコース」をお申し込みされました。

施術内容(税込)
初回オフィスホワイトニング:8,800円
ペアコース特別価格:65,000円(お一人様あたり)
内容:オフィス3回 + ホームセット一式(ジェル6本付)

期間 約1.5ヶ月

担当衛生士の振り返り
小さなお子様がいらっしゃる多忙な生活の中、ホームケアを併用していただきました。一度、装着したまま就寝され、一時的な痛みが出たこともありましたが、その後は「毎日1〜2時間」のルールを守り、着実にトーンアップ。気にされていた犬歯も含め、全体的に明るく清潔感のある仕上がりになりました。

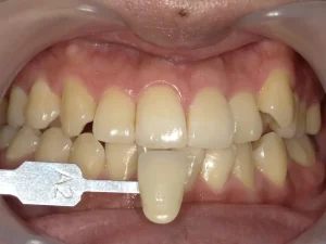
20代男性 期間1ヶ月半

ご相談のきっかけ 「とにかく歯を白くしたい」という強いご希望をお持ちの20代男性が、ご友人の紹介で来院されました。目指すゴールとして、通常の歯の色味を超えた圧倒的な白さである「ブリーチシェード」を目標に掲げられました。

施術内容(税込)
初回オフィスホワイトニング:8,800円
デュアルホワイトニング(スタンダードコース):69,000円 (※プレミアムホワイトニング3回・ホームホワイトニング上下セット・ホームジェル12本・トリートメントペースト1本を含む)

期間 約1ヶ月半

担当衛生士の振り返り トライアスロンをされているとのことで、健康的に日焼けした肌に、完成したブリーチシェードの白い歯が非常に美しく映える仕上がりとなりました。期間中は、毎日欠かさず2時間のホームケアに励んでいただいた努力が結果に結びついています。 もともと着色が付きやすい体質でしたが、当院オリジナルのホワイトニング用歯磨き粉を併用することで、良好な状態をキープされています。「周りから歯の白さを褒められるようになり、就職活動も成功した」との嬉しいご報告をいただき、担当として大変光栄です。

30代男性 期間1ヶ月半

ご相談のきっかけ 
営業職に従事されており、ビジネスシーンでの第一印象をより良くするため「清潔感のある白さ」を求めてご来院されました。お仕事での信頼感に繋がるよう、お顔の印象を明るくするトーンアップを目指しました。

施術内容(税込)
初回オフィスホワイトニング:8,800円
デュアルホワイトニング(スタンダードコース):69,000円 (※プレミアムホワイトニング3回・ホームホワイトニング上下セット・ホームジェル12本・トリートメントペースト1本を含む)

期間 約1ヶ月半

担当衛生士の振り返り 
非常にストイックに取り組んでくださり、期間中は毎日2時間のホームホワイトニングを継続されました。開始から1ヶ月で目に見えて白さが向上しましたが、最後まで妥協せずに継続されたことで、目標を上回るブリーチシェードまで到達することができました。 初期段階では、装着時間を長く取りすぎたことによる知覚過敏(しみ)も見られましたが、その後は適切な使用時間を守ることで症状もすぐに落ち着きました。最終的な仕上がりは営業職にふさわしい、清潔感に溢れた輝く白さとなりました。

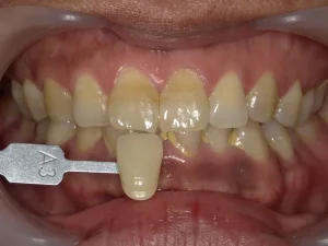
40代女性 期間1ヶ月半

ご相談のきっかけ 
美意識が非常に高く、歯の色味についても最高明度の「ブリーチシェード」を強くご希望されていました。右上4・5番の被せ物は他院で新調されたばかりとのことでしたが、今回のホワイトニングで得られる白さに合わせ、将来的にさらに明るい色で作り直すことも視野に入れてのスタートとなりました。

施術内容(税込)
初回オフィスホワイトニング:8,800円
デュアルホワイトニング(スタンダードコース):69,000円 (※プレミアムホワイトニング3回・ホームホワイトニング上下セット・ホームジェル6本・トリートメントペースト1本を含む)

期間 約1ヶ月半

担当衛生士の振り返り 
理想の白さを効率よく追求するため、ホームホワイトニングの進め方を工夫しました。最初は16%の低濃度ジェルから開始して歯を慣らし、22%を2本使い切ったタイミングで、より高い効果が期待できる35%の高濃度ジェルへとステップアップ。 患者様の「早く白くしたい」というモチベーションに応える形で、ご自宅でのケアを重点的に強化していただきました。短期間で集中して取り組まれたことで、被せ物のやり替えプランも具体的に見えてくるほどの、納得のいく白さを手に入れられました。

50代女性 期間2ヶ月半

ご相談のきっかけ 
かかりつけの歯科医院でホワイトニングを断られてしまったものの、「自分の歯でできる限りの白さを追求したい」という強い思いをお持ちでカウンセリングにお越しいただきました。軽〜中程度のテトラサイクリン歯特有の変色が見られましたが、当院の過去の改善症例をご覧いただき、二人三脚でチャレンジすることになりました。

施術内容(税込)
初回オフィスホワイトニング:8,800円
デュアルホワイトニング(プレミアムコース):110,000円 (※プレミアムホワイトニング3回・ホームホワイトニング上下セット・ホームジェル12本・トリートメントペースト1本を含む)

期間 約2ヶ月半

担当衛生士の振り返り 
通常の歯よりも色の変化に時間を要するため、長期間じっくりとケアに取り組めるプレミアムコースを選択。期間中はほぼ毎日2時間のホームケアを継続していただきました。薬剤の濃度は16%からスタートし、段階的に22%へ引き上げることで、歯への負担を抑えつつ効果を最大限に引き出しています。 テトラサイクリン歯特有の縞模様(横縞)は完全に消えるわけではありませんが、ベースの明るさが大幅にアップしたことで、お口元全体の印象が劇的に明るくなりました。ご来院のたびに白くなっていく様子をご本人も実感され、「自信を持って笑えるようになった」と満面の笑みでお話しいただけたのが非常に印象的です。

40代男性 期間2ヶ月

ご相談のきっかけ 
長らく歯科医院から足が遠のいていたこともあり、お口全体のメンテナンスとホワイトニングを同時に希望してご来院されました。「ビジネスマンとしての清潔感を手に入れたい」「できればブリーチシェードを目指したい」という高い目標をお持ちでした。

施術内容(税込)
初回オフィスホワイトニング:8,800円
デュアルホワイトニング(プレミアムコース):110,000円 (※通常、オフィス5回のところ、1回分を「オーラルケアクリーニング」に変更。プレミアムホワイトニング4回・ホームホワイトニング上下セット・ホームジェル12本・トリートメントペースト1本を含む)

期間 約2ヶ月

担当衛生士の振り返り 
市外から時間をかけて通院してくださった患者様です。歯石の沈着が顕著だったため、まずはコース内の1回分を本格的なオーラルケアクリーニングに充て、土台を整えてからホワイトニングを開始しました。 施術の結果、ご希望通りのブリーチシェードまで到達。白くなったご自身の歯を見てお口への関心が非常に高まり、現在はホームケアにも積極的に取り組まれています。縁下歯石(歯ぐきの奥の歯石)も多く見受けられたため、今後は一般歯科での治療も並行していただくようアドバイスし、お口全体の健康増進をサポートしています。

50代男性 期間1ヶ月半

ご相談のきっかけ 
お知り合いからのご紹介でご来院された50代の男性です。特に「犬歯の強い黄ばみ」と「上顎前歯(左右1番)の色ムラ」を気にされており、周囲の目を引くような、はっきりとした白さを手に入れたいとのご要望をいただきました。

施術内容(税込)
初回オフィスホワイトニング:8,800円
デュアルホワイトニング(スタンダードコース):69,000円 (※プレミアムホワイトニング3回・ホームホワイトニング上下セット・ホームジェル6本・トリートメントペースト1本を含む)
追加オプション:プレミアムホワイトニング1回

期間 約1ヶ月半

担当衛生士の振り返り 「
しっかり目立つ白さにしたい」というご本人の意向を汲み、スタンダードコース終了後に、さらにオフィスホワイトニングを1回追加して理想のトーンまで引き上げました。 ホワイトニングが進むにつれ、天然歯が明るくなったことで、以前から入っていた詰め物(レジン等)との色の差が顕著になりました。そのため、ホワイトニング終了後に併設の歯科外来にて、新しくなった歯の色に合わせて詰め物のやり替えを実施。色ムラが解消され、統一感のある非常に美しいお口元へと仕上がりました。

標準的な治療内容
オフィスホワイトニング:歯の表面に専用薬剤を塗布し、LEDライトを照射。色素を化学的に分解することで、スピーディーに歯を白く引き上げます。
ホームホワイトニング:自分専用に型取りしたマウスピースに薬剤を入れ、毎日一定時間装着。じっくりと時間をかけて歯の内部まで白さを浸透させます。

標準的な費用 ※ホワイトニングは自費診療(保険外)となります。
スタンダードオフィスホワイトニング(60分):14,800円(税込) (薬剤塗布2回 + 10分間の光照射)
ホームホワイトニング:18,000円(税込) (上下トレー製作 + ジェル10日分)

起こり得る副作用(リスク)
歯の状態や体質により、施術中や施術後に一時的な知覚過敏(しみる症状)が出ることがあります。
歯の重なりが強い部分は照射光が届きにくいため、仕上がりにわずかな色ムラが生じる可能性があります。