デュアルホワイトニングとは
About Dual Whitening
デュアルホワイトニングとは、サロンで行うオフィスホワイトニングと、ご自宅で行うホームホワイトニングを組み合わせて歯を白くしていく方法です。
短期間で白さを実感しやすい即効性と、白さを長く維持できる持続性を兼ね備えており、理想の白さを無理なく目指すことができます。
サロンケアとホームケアを併用することで、より高いホワイトニング効果が期待できるのが特長です。
![]()
Refletのデュアルホワイトニングの特徴
About our Dual whitening
01 即効性と持続性を両立
デュアルホワイトニングは、サロンで行うオフィスホワイトニングと自宅で行うホームホワイトニングを組み合わせた方法です。短期間で白さを実感しやすい即効性と、白さを長く保つ持続性の両方を叶えます。
一度の施術で終わらせず、理想の白さを安定してキープできるのが大きな特長です。
02 高いホワイトニング効果
オフィスホワイトニングによる集中ケアと、ホームホワイトニングによる継続ケアを併用することで、単体の施術では難しいレベルの白さを目指すことができます。加齢や生活習慣による着色はもちろん、深い色味にも段階的にアプローチ可能です。
より明るく透明感のある歯を目指したい方におすすめです。
03 色戻りしにくい
デュアルホワイトニングでは、短期間で白くした歯をホームケアでしっかり定着させていきます。そのため、オフィスホワイトニングのみと比べて色戻りが起こりにくいのが特長です。
白さを一時的なものにせず、長く楽しみたい方に適したホワイトニング方法です。
04 一人ひとりに合わせたプラン
デュアルホワイトニングでは、歯の状態やご希望の白さ、ライフスタイルに合わせて施術内容を調整します。無理のないペースで進められるため、初めての方でも安心して取り組めます。
理想の白さを目指しながら、負担を抑えて続けられるのがRefletのデュアルホワイトニングです。
![]()
![]()
ホワイトニング方法の比較
Comparison of Whitening

![]()
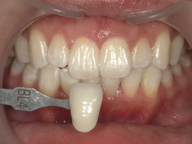
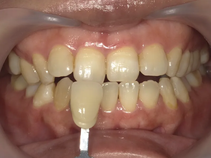
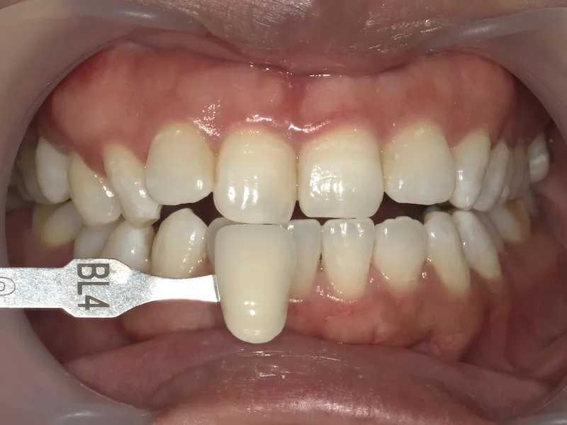
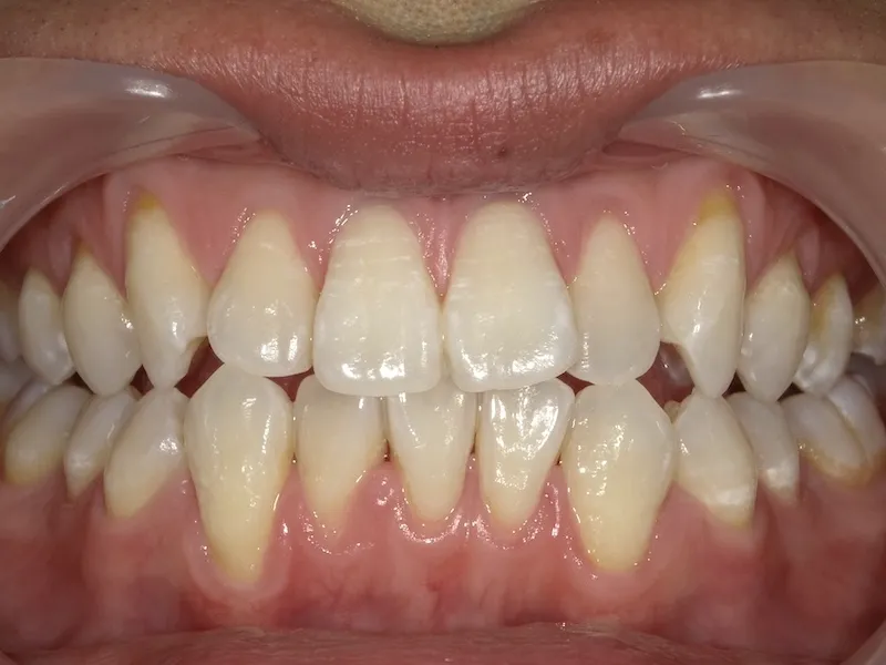
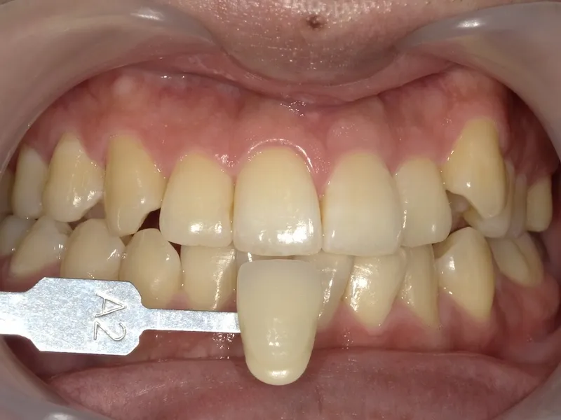
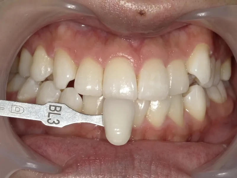
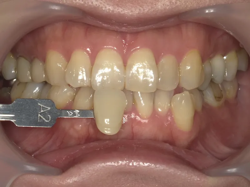
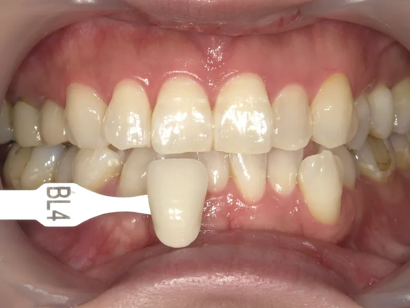
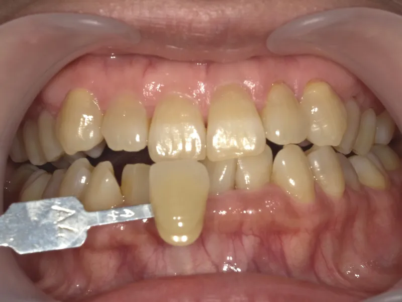
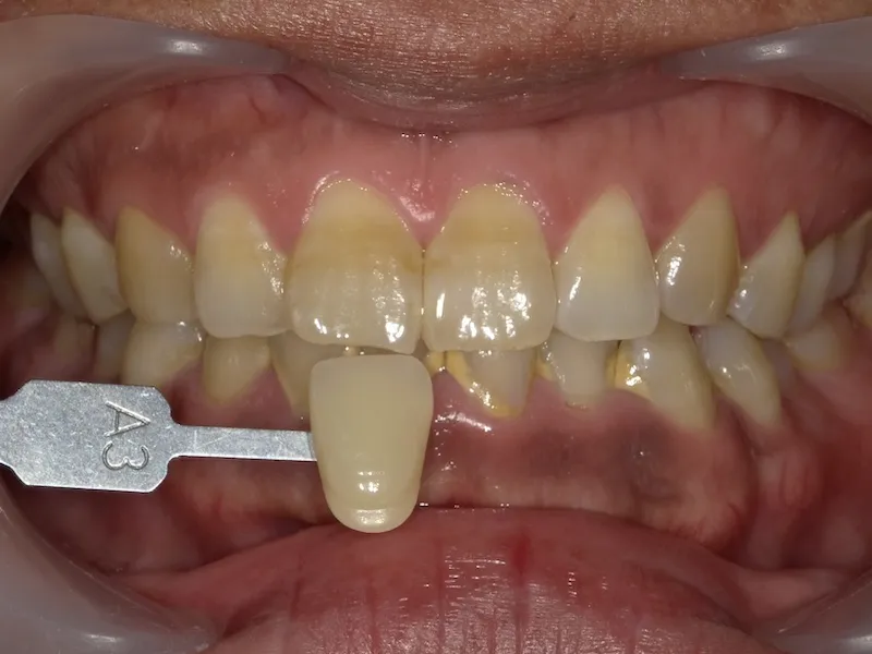
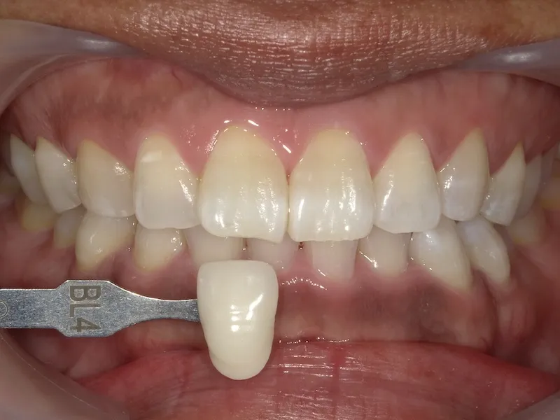
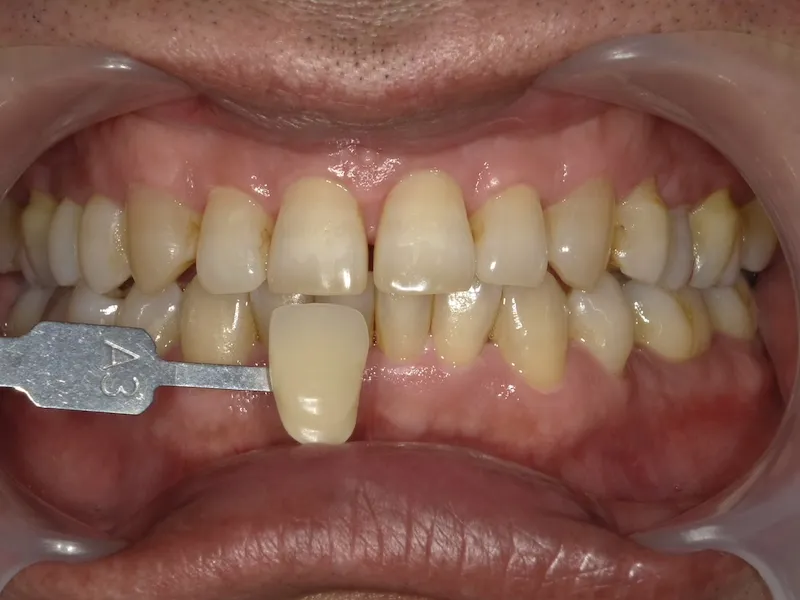
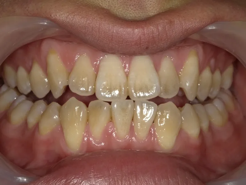
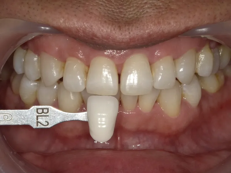
ホワイトニング症例
Case of Whitening
デュアルホワイトニングの料金
fee of Dual whitening
![]()
お得なコースメニューもございます。
スタンダードオフィスホワイトニング
(60分) 2回塗布×10分光照射
初回 税込8,800円
2回目以降 税込14,800円
お薬を塗布して光を照射するホワイトニング
照射範囲:塗布できる全ての歯
(本数が増えても追加料金はございません。)
施術はすべて歯科医師または歯科衛生士が行います。
ホームホワイトニング上下トレーセット
(上下トレー)税込18,000円
オーダーメイドでトレーをお作りします。
*ジェルは別売りです。















